打印社区
野外救护人员定制专门用于放置CB无线电设备的车载3D打印支架
2017-11-24 11:51:11
3D打印材料--PLA+
2017-11-24 11:38:08
印度12岁高中男孩成功自制自己的3D打印机
2017-11-24 11:28:52
3D打印定制女性内衣 黑科技与时尚的碰撞
2017-11-24 11:20:50
eSUN易生助力第22届中国国际涂料展,现场原材料占比超7成!
2017-11-24 11:07:16
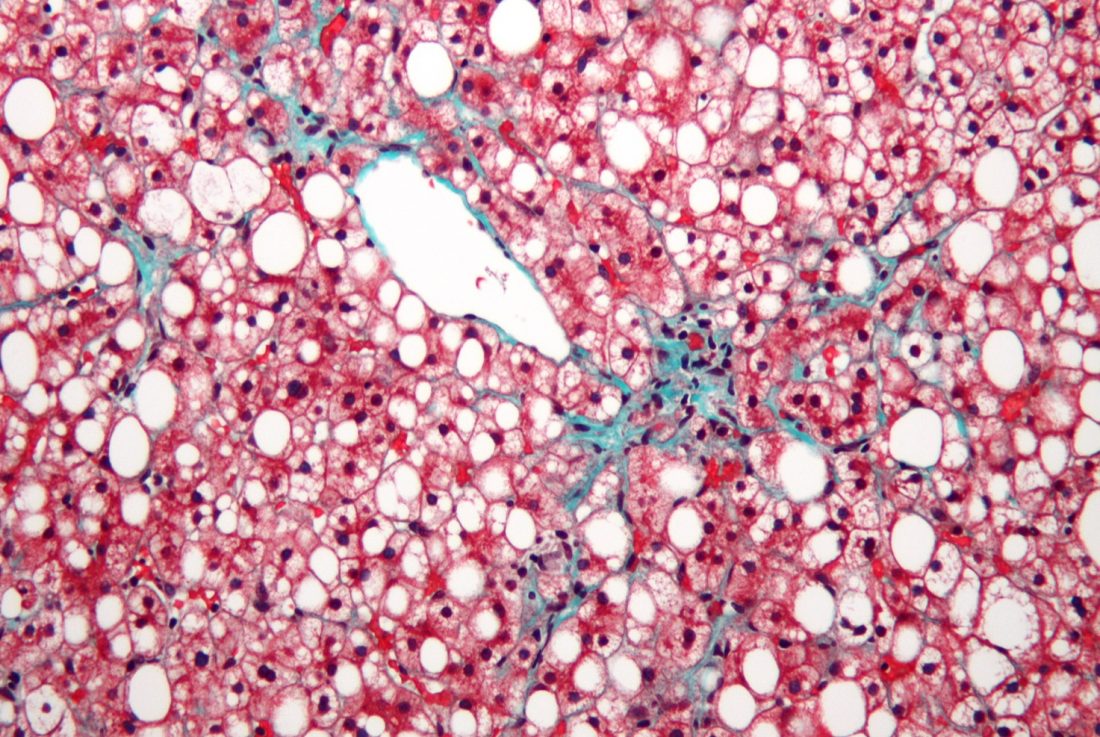
Organovo与Viscient Biosciences合作进行用于肝病治疗的3D打印研究
2017-11-24 11:04:49
Nanoscribe使用微小的3D打印聚合物母版来生产微型元件
2017-11-24 10:54:24
《魔兽世界》玩家历时一年,3D打印出母牛战雕像
2017-11-24 10:36:11