dy19932017-09-12 15:37:04
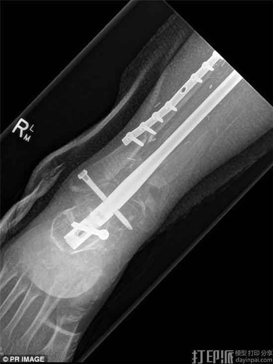
Reuben Lichter是一名27岁的澳大利亚帅小伙,2016年不幸患上了骨感染,一度面临需要截肢的危险。但幸运的是,布里斯班的Princess Alexandra医院近日为他植入了3D打印的胫骨支架,成功保住了他的腿。


据了解,手术所用的3D打印胫骨支架长36厘米,是由昆士兰科技大学设计,然后在新加坡使用生物降解型聚合物材料制造的。手术之前,医生们用血管和取自Lichter的胫骨组织将其包裹,而手术时,这些组织已经开始生长。所以最终,如果一切顺利,这些组织便会长成全新的胫骨。


虽然手术能否彻底解决问题尚无法断定,但毫无疑问,它还是带给了Lichter希望,至少他不用再担心被截肢了。目前,Lichter恢复状况良好。而据医生透露,如果一切顺利,再过18个月他就可以正常行走了。

值得一提的是,这是全球首例3D打印胫骨支架植入手术,而Lichter也因此成为了世界首个接受此类手术的人。另外在手术之前,医生们就一直用羊进行着活体实验。所以这次,他们才有信心为Lichter实施手术。
评论 (0)