lydiazhang2017-08-29 10:27:17
如今,3D数字化、3D打印技术在医疗领域的应用可谓是层出不穷,3D打印技术公司在其中扮演了重要的角色。作为湖北省最早将3D数字打印运用在医学手术临床个体化治疗的项目中的企业,金玺银杏工业设计公司取得多项应用及科研合作成果,成为湖北武汉的多家三甲医院紧密合作伙伴。2015年5月至今已成功为多家三甲医院提供医学病理研究及术前模拟实例130例。

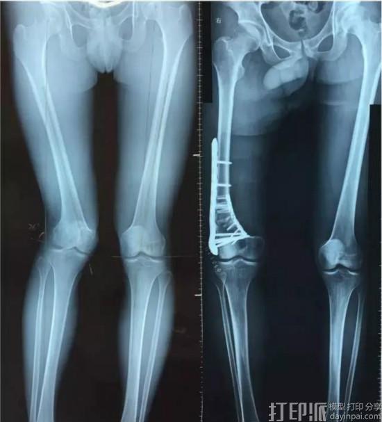
幼时骨折如今股骨严重畸形,3D打印让18岁小伙告别“鸭子步”
河南18岁的小伙晓华(化名)因为小时候骨折未处理好,导致股骨严重畸形,走路的样子像“鸭子步”。
2017年2月12日,晓华来到武汉协和骨科医院就诊。接诊的张波博士检查后表示,晓华的情况若不及时手术,可能会过早让他的关节报废,最后只能更换人工关节。16日,该院的叶树楠教授和张波博士联手为晓华实施手术。

由于晓华的股骨必须切掉一段,传统方法是术前计算出需要截骨的角度,术中用两根导针方向估计截骨角度再截骨,这样容易产生误差。为精确截骨,医生利用了3D 打印导航模板技术,术前打印出模型,定制精准角度的3D截骨导板,术前进行模拟操作,以便正式做手术时成竹在胸。
而制造这个3D打印导航模板的正是金玺银杏工业设计公司。手术第二天,医生便鼓励晓华下床活动。很快晓华已能拄着拐杖行走,这场手术让晓华彻底告别了“鸭子步”。张波博士说,如今3D打印技术在骨科中的应用越来越广泛,其优势在于让手术更加直观,而且大大提高了手术的精确程度,有利于患者术后快速恢复。
腹主动脉瘤+脊柱侧弯畸形,3D打印助60岁“虾米病人”微创治愈
2015年12月,60岁的确诊为腹主动脉瘤,一旦破裂,死亡率极高,相当于腹腔里隐藏了一颗定时炸弹。而且,纪先生患先天性脊柱侧弯畸形,脊柱向一侧严重弯曲,整个背部往前凸起,像“虾米”一样弓着,腹部凸起,也称为“虾米病人”。脊柱侧弯畸形将原本增大的腹主动脉瘤推挤到一边,造成进一步扭曲。
腹主动脉瘤的治疗方法包括传统开腹手术和微创腔内修复手术。但家人担心纪先生年龄太大,手术创伤大可能出现并发症,因而拒绝开腹手术,坚持要微创治疗。同济医院心脏大血管外科主任医师潘友民介绍,微创腔内手术的技术本身已经非常成熟,对普通的患者来说,并不是什么难事。但是患者腹腔内3个几近90度的转弯让微创手术变得复杂且充满挑战。
为明确手术中可能出现的各种问题,减少手术风险,订制手术方案,他们借助了CT三维成像取得影像资料,再通过3D打印技术将腹主动脉瘤1:1真实还原,并通过“私人订制”腹主动脉瘤模型,在体外模拟了整个手术过程。而完成CT数据重建及演示模型制作的也是金玺银杏工业设计公司。“这种1:1的打印可以从三维角度测量各个径线,更加精确和个体化。”同济医院心脏大血管外科副主任医师郑智介绍,没有3D打印技术以前,胸腹主动脉血管成像(CTA)是腹主动脉瘤的常规检查方法。但由于该病人动脉瘤情况复杂,CTA的二维测量如果有些许误差,就会导致支架无法植入。

更让患者放心的是,借助3D打印,医生在手术方案制定的过程中,已经将手术演练了一次。通过这样模拟支架植入过程,三个支架植入的顺序、路径、方向都得以确定,医生们相当于为本次手术提前“踩点探路”,让医生和患者都充满了信心。2015年12月15日,手术根据之前模拟的过程一一进行并取得圆满成功。
然而,这只是金玺银杏工业设计公司130多例医疗3D打印案例中的两个,还有更多医疗案例,我们在以后的时间里会逐一报道。
关于金玺银杏工业设计公司
武汉金玺银杏工业设计有限公司成立于2005年,有着丰富的行业经验,现作为政府认证“省、市级工业设计中心、湖北省包装设计协会主任理事单位、武汉市工业设计协会副会长单位、湖北省工业设计创新服务平台建设项目负责单位”。我们是湖北省最早将3D数字打印运用在医学手术临床个体化治疗的项目中的企业,并取得多项应用及科研合作成果,成为湖北武汉的多家三甲医院紧密合作伙伴。
2015年5月至今已成功为多家三甲医院提供医学病理研究及术前模拟实例130例。武汉市儿童医院骨外科已成功运用我们的打印产品实施了53例手术,其中主导先天脊柱畸形矫正手术开创医院先河。武汉金玺银杏工业设计有限公司目前已联合武汉市儿童医院共同筹备创立“武汉儿童医院 银杏3D数字医学研究中心”。同时,我们也和武汉同济医院泌尿外科;北京市安贞医院心脏外科展开多项技术合作及应用服务,并获多项技术专利。
评论 (0)